福岡歯科・矯正歯科

タグ『#歯並び』のページ一覧

お問い合わせはこちら WEB予約はこちら

タグ『#歯並び』のページ一覧

タグ『#歯並び』のページ一覧

整った歯並びは見た目の印象だけでなく、清掃性や噛み合わせにも関わる要素です。歯や歯ぐきの状態をしっかりと確認し、機能面と見た目の両方を意識した治療計画を立てながら、健康的で自然な笑顔を奈良市で支えています。長く維持できるバランスを大切にし、日常生活の快適さにも配慮して治療を行っています。

こんにちは、福岡歯科です 本日はクリアブラケットで矯正している スタッフの経過を投稿します。 矯正を始めて2年が経過し終了まで後少しとなりました。 まだまだ、歯磨きの難しさや、歯の痛さは感じま…

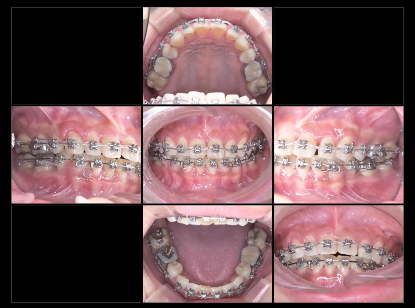
こんばんは!福岡歯科矯正歯科です 本日は、矯正経過報告(メタル)です! 前歯も動いたので 全体の隙間を埋めていく段階になりました 1ヶ月に1㍉程しか動かないので まだ時間はかかりますし 微調整もあ…

歯並びを整えることは、口元の印象だけでなく噛み合わせや清掃のしやすさにもつながります。矯正歯科の診療では、患者様の生活背景やご希望に合わせて計画を立て、見た目と機能の調和を大切にした治療を奈良市で丁寧に進めています。

当店でご利用いただける電子決済のご案内

下記よりお選びいただけます。